Data archive of Synergistic olfactory nerve input and cholinergic neuromodulation can activate ERK in rat olfactory bulb vasopressin cells
Reichardt, Nicolas
, Kindler, Lisa, Pino, Esteban
, Lukas, Michael
, Egger, Veronica
und Suyama, Hajime
(2025)
Data archive of Synergistic olfactory nerve input and cholinergic neuromodulation can activate ERK in rat olfactory bulb vasopressin cells.
[Datensatz]
Veröffentlichungsdatum dieses Volltextes: 06 Aug 2025 09:13
Datensatz
DOI zum Zitieren dieses Dokuments: 10.5283/epub.77494
![]() | Es ist eine neuere Version dieses Eintrags verfügbar. |
Zusammenfassung
Social discrimination in rats relies on vasopressin cells (VPCs) intrinsic to the olfactory bulb (OB). We had observed that VPCs responded to electrical stimulation of the olfactory nerve in acute OB slices with inhibitory postsynaptic potentials, and that the neuromodulator acetylcholine could revert these responses to excitation, resulting in action potentials (AP). Moreover, in behaving rats ...
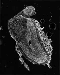
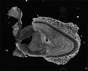
Social discrimination in rats relies on vasopressin cells (VPCs) intrinsic to the olfactory bulb (OB). We had observed that VPCs responded to electrical stimulation of the olfactory nerve in acute OB slices with inhibitory postsynaptic potentials, and that the neuromodulator acetylcholine could revert these responses to excitation, resulting in action potentials (AP). Moreover, in behaving rats that were exposed to conspecifics, more VPCs were immunopositive to the neural activity marker pERK (pERK+ VPC) than in control rats. However, it is unclear whether these two observations, the increased ERK activation in vivo, and the generation of APs in the presence of ACh in vitro, can be actually mapped onto each other. Here we investigated ERK activation in acute OB slices from transgenic VP-eGFP rats upon either chemical stimulation or tetanic olfactory nerve stimulation. Both KCl and NMDA stimulation resulted in substantial pERK induction across bulbar layers and caused VPC spiking in whole-cell recordings, but only NMDA slightly increased pERK+ VPC percentage. Tetanic olfactory nerve stimulation yielded localized, column-like ERK activation of neurons across bulbar layers. The presence of ACh during tetanic stimulation substantially and specifically increased percentages of pERK+ VPCs within columns, indicating that columnar pERK+ VPCs were preferentially activated by coincident cholinergic neuromodulation and synaptic input.
Our results validate pERK induction as a tool to monitor synaptic VPC excitation in the OB, and imply that depolarization of VPCs alone is insufficient to activate ERK. We propose that synaptically evoked APs are a prerequisite for pERK induction in VPCs.
Alternative Links zum Volltext
Beteiligte Einrichtungen
Details
| Dokumentenart | Datensatz | ||||
| Datum | 28 Januar 2025 | ||||
| Institutionen | Biologie und Vorklinische Medizin > Institut für Zoologie Biologie und Vorklinische Medizin > Institut für Zoologie > Neurophysiologie (Prof. Dr. Veronica Egger) | ||||
| Projekte |
Gefördert von:
Deutsche Forschungsgemeinschaft (DFG)
(274021948)
Gefördert von:
Deutsche Forschungsgemeinschaft (DFG)
(466488864)
Gefördert von:
Deutsche Forschungsgemeinschaft (DFG)
(506270183)
| ||||
| Identifikationsnummer |
| ||||
| Verwandte URLs | |||||
| Stichwörter / Keywords | Olfaction, Olfactory Bulb, Acetylcholine, Vasopressin, pERK | ||||
| Dewey-Dezimal-Klassifikation | 500 Naturwissenschaften und Mathematik > 500 Naturwissenschaften 500 Naturwissenschaften und Mathematik > 570 Biowissenschaften, Biologie 500 Naturwissenschaften und Mathematik > 590 Tiere (Zoologie) | ||||
| Status | Eingereicht | ||||
| Begutachtet | Nein, diese Version wurde noch nicht begutachtet (bei preprints) | ||||
| An der Universität Regensburg entstanden | Ja | ||||
| URN der UB Regensburg | urn:nbn:de:bvb:355-epub-774942 | ||||
| Dokumenten-ID | 77494 |

Downloadstatistik
Downloadstatistik